Le 42 Cannes
Chirugie-Dentaire
incite à bâtir des bases solides pour atteindre ses objectifs, tout en restant attentif aux besoins émotionnels et relationnels. C’est un nombre qui encourage à travailler en équipe, à rechercher des solutions harmonieuses et à cultiver des relations équilibrées. Il rappelle que le succès véritable réside non seulement dans la réussite personnelle, mais aussi dans la façon dont on interagit avec les autres et avec le monde qui nous entoure.
« Redefining Care »
Une nouvelle ère du soin, où la technologie de pointe, l’écoute attentive et la transparence réinventent la relation patient-praticien.
Nous transformons l’expérience dentaire, en offrant un environnement apaisant, des traitements fiables, et un accompagnement fondé sur la confiance. Ici, on ne subit plus les soins, on les comprend, on les choisit, et on les vit sereinement.
Redefining Care, c’est un changement de paradigme : enfin une approche humaine, douce, et en perpétuelle évolution, qui place le patient au cœur de tout.
Notre vision :
Implication - Qualité - Précision
Le 42 est une invitation à créer un équilibre entre ambition et compassion.
Traitements et services dentaires de renommée au bord de la Croisette à Cannes.
Découvrez nos traitements dentaires
Découvrez tous nos avis Google
Une équipe dédiée à vos soins.
Une équipe dédiée à vos soins.
Réda BENKIRAN
Léna BENKIRAN
Johanna LOUFRANI
L’équipe pluridisciplinaire du 42 vous accueillera avec toute l’exigence et la qualité requise pour vos soins.
Les technologies au sein du cabinet
CBCT - Imagerie 3D
Une modélisation tridimensionnelle ultra-précise pour une évaluation rigoureuse et une planification thérapeutique sur mesure
Radiographie Panoramique
Une vision d’ensemble en deux dimensions, essentielle au diagnostic global et à la planification initiale de traitements précis et adaptés.
Empreinte Numérique
Une technoologie d’empreinte de dernière génération, alliant confort absolu et précision maximale, sans aucun matériau intrusif.
Microscope Opératoire
Voir l’invisible, révéler chaque détail essentiel, pour une prise en charge minutieuse, de haute précision et micro-invasive
Planification Implantaire Digitale
Une approche numérique complète et prédictive, intégrant l’analyse 3D et la chirurgie guidée pour une pose d’implant parfaitement maîtrisée.
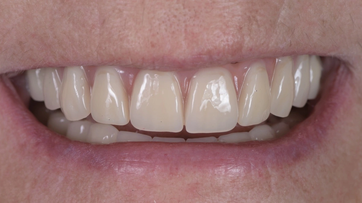
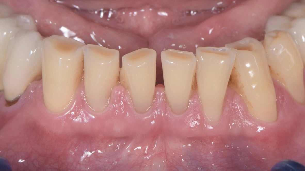
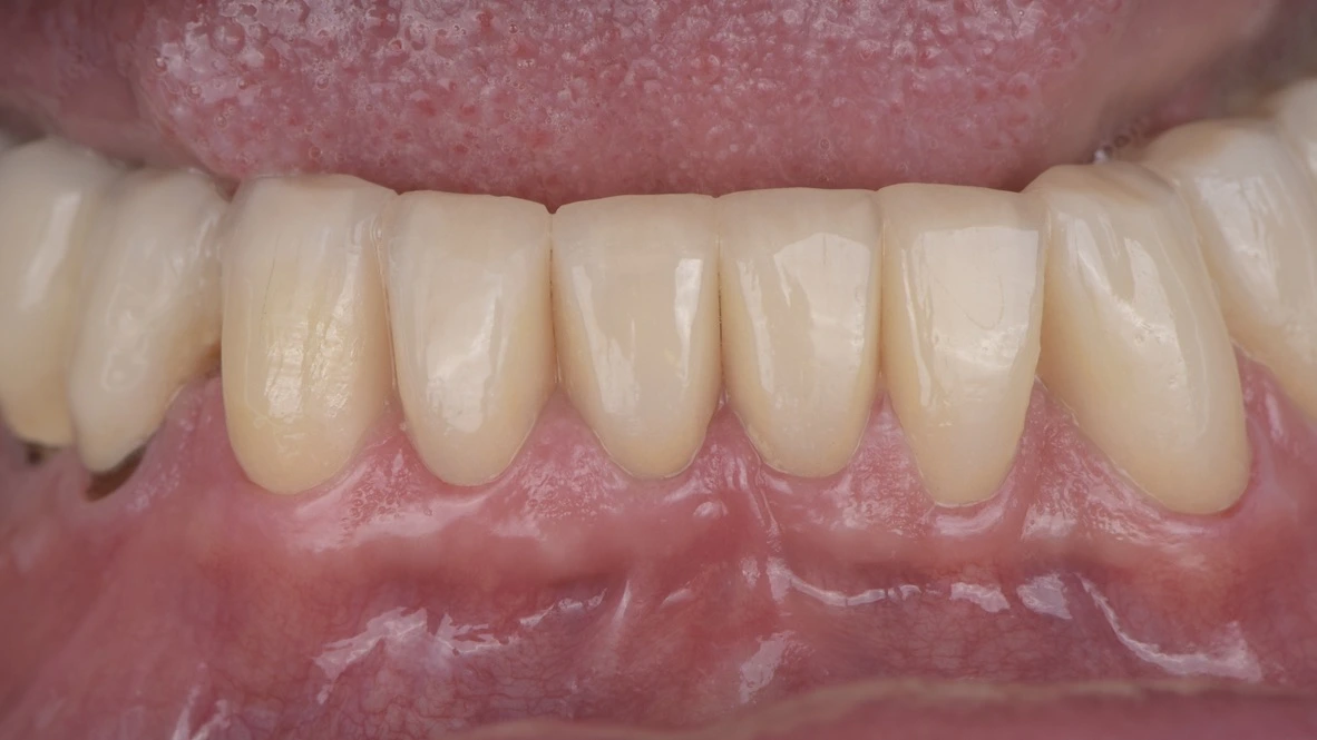
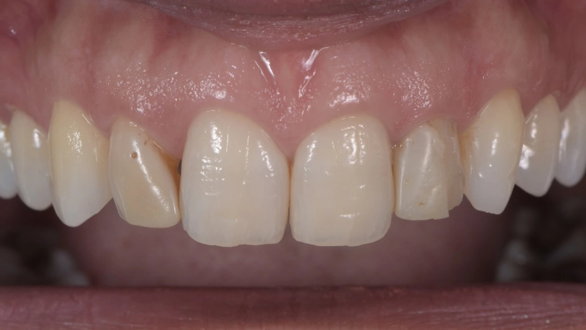
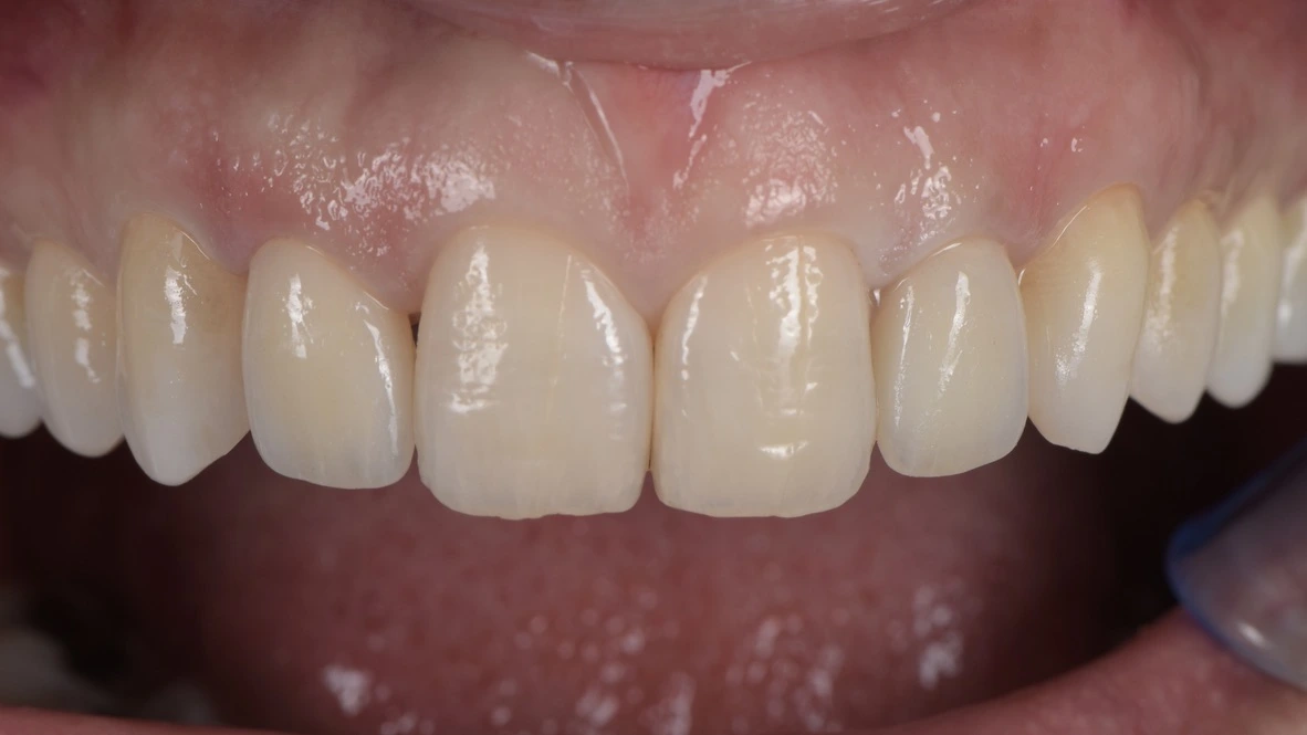
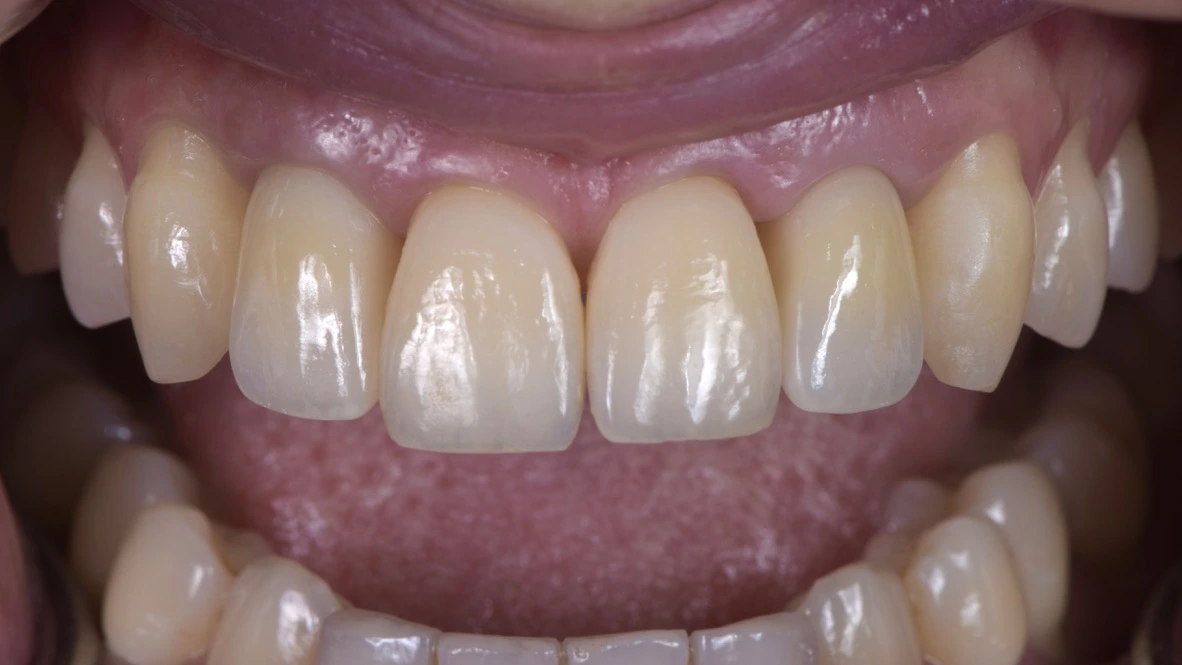
Découvrez quelques-unes de nos plus belles réussites.
























Créons ensemble votre sourire
Les questions qu'on nous pose le plus souvent :
Est-ce que les soins sont remboursés par la Sécurité sociale ou ma mutuelle ?
Les soins sont en partie remboursés par la Sécurité sociale, et complétés par la mutuelle selon le contrat. Certains soins sont entièrement pris en charge, et des dépassements d’honoraires peuvent rester à votre charge.
D’autres soins n’existent pas dans la nomenclature et sont en totalité à la charge du patient.
Tout acte ne sera réalisé qu’après la présentation d’un devis, généralement écrit, et accepté par vos soins.
Proposez-vous des facilités de paiement (paiement en plusieurs fois) ?
Pour vous accompagner dans vos soins, le cabinet propose des solutions de paiement en plusieurs fois, l’échelonnement des traitements, ainsi que des financements via organismes partenaires ou paiement fractionné par carte bancaire.
N’hésitez pas à nous en parler lors de votre première consultation parmi nous.
Quels sont les modes de règlement acceptés ?
Carte bancaire, chèques, espèces
Est-ce que les soins dentaires sont douloureux ?
Notre structure réunit des spécialistes expérimentés dans chaque domaine de la dentisterie. Cette approche globale favorise une vision concertée, une communication fluide entre praticiens, et une coordination optimale des soins — le tout dans un lieu unique, pour une prise en charge plus cohérente et sereine.
Avez-vous un parking pour les patients ?
Nous avons la chance de disposer de deux parkings publics proches de notre cabinet. Vous pouvez stationner facilement au Parking de la Gare, ou au parking du Gray d’Albion, tous deux situés à moins de 80 mètres de notre installation.
Ces options de stationnement vous permettent un accès facile et rapide à notre cabinet.
Le cabinet est-il accessible aux personnes à mobilité réduite ?
Pour les patients à mobilité réduite, un accès spécifique est prévu.
Celui-ci se fait par une autre porte d’accès situé au 18 rue Hoche, qui dispose de toutes les facilités nécessaires pour garantir un accueil confortable et sécurisé.
Êtes-vous ponctuels sur les horaires de rendez-vous ?
Nous accordons une grande importance à notre ponctualité.
Notre planning est organisé avec rigueur, afin de réserver à chaque patient le temps nécessaire à la réalisation de soins précis et de qualité.
Cette exigence nous permet d’assurer un travail soigné, dans les meilleures conditions possibles.
Que faire en cas d'urgence ?
Si vous êtes déjà patient(e) du cabinet, une adresse dédiée est à votre disposition pour toute urgence survenant durant les week-end et jours fériés : urgence@le-42.fr.
Ce service est exclusivement réservé aux patients suivis au sein du 42.

